アスベストとは、蛇紋石(じゃもんせき)や角閃石(かくせんせき)が繊維状に変形した天然の鉱石です。アスベストは、ギリシャ語に由来し、日本語では「石綿(いしわた・せきめん)」と呼ばれます。
アスベストは肺がんや悪性中皮腫などの病気を引き起こす原因とされ、問題となっています。
本記事では、以下についてわかりやすく解説します。
- アスベストとは
- アスベストの問題点
- アスベストが使用された経緯や使用期間について
- 政府のアスベスト対策
- アスベスト(石綿)による健康被害救済給付とは
本記事がお役に立てば幸いです。
※本文中アスベストと石綿の表記を分けていますが、この使い分けは官公庁の発表している資料の表記に基づきます。
1、アスベストとは?

アスベストとは、蛇紋石や角閃石が繊維状に変形した天然の鉱石です。
アスベストは、
- 耐久性
- 耐熱性
- 耐薬品性
- 電気絶縁性
に優れた素材であり、安価で加工しやすい特徴があります。
そのため、アスベストは
- 建設資材
- 電気製品
- 自動車
- 家庭用品
などに、多く利用されていました。
参考:アスベスト(あすべすと) e-ヘルスネット 厚生労働省
2、アスベストの問題点
アスベストの問題点は、アスベストを吸い込むことで発症する、健康被害です。
20年~40年の長い潜伏期間を経て、肺がんや悪性中皮腫を引き起こす場合があります。
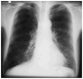
(1)石綿(アスベスト)肺
石綿(アスベスト)肺とは、肺線維症(じん肺)という病気の1つです。
肺が線維化(せんいか)することで、息切れや運動能力の低下が表れます。
石綿(アスベスト)肺の診断には、胸部X線検査とCT検査が用いられます。
肺の線維化は、粉じんや薬品でも起きる現象です。
そのため、石綿のばく露によっておきた肺線維症を「石綿(アスベスト)肺」とよんでいます。

画像引用元:3. 石綿肺 アスベスト(石綿)関連疾患 アスベスト(石綿)とは? 独立行政法人 環境再生保全機構
(2)肺がん
肺がんとは、肺に発生するがんの1つです。
- せき
- 痰
- 血痰
などの症状が現れる場合があります。
肺がんの診断には、胸部X線検査や胸部CT 検査が用いられます。
石綿が肺がんを発症させる原因は、十分に解明されていません。
「肺細胞に取り込まれた石綿繊維の物理的な刺激によって肺がんが発生する」と考えられることが一般的です。
また、喫煙者は非喫煙者に比べ、肺がんを起こしやすいことが報告されています。
非喫煙しない人の肺がんの危険性を1とすると、
- 喫煙者は10倍
- 石綿ばく露者は5倍
- 喫煙する石綿ばく露者は約50倍
であることがわかっています。
参考:石綿ばく露との関連 2. 肺がん(原発性肺がん)アスベスト(石綿)関連疾患 アスベスト(石綿)とは? 独立行政法人 環境再生保全機構
(3)悪性中皮腫
悪性中皮腫とは、悪性の腫瘍です。
悪性中皮腫では
- 肺を取り囲む胸膜
- 肝臓や胃などの臓器を囲む腹膜
- 心臓および大血管の起始部を覆う心膜
- 精巣鞘膜
に腫瘍ができます。
胸膜と腹膜に腫瘍ができることが多く、胸部や腹部に圧迫感を感じることがあります。
胸膜中皮腫の原因のほとんどが、石綿のばく露です。
胸膜中皮腫の男性患者の80%〜90%に石綿ばく露が関与していることがわかっています。
参考:1. 中皮腫 アスベスト(石綿)関連疾患 アスベスト(石綿)とは? 独立行政法人 環境再生保全機構
3、アスベストが使用された経緯や使用期間について

アスベストが使用された経緯は、1960年代の高度成長期に始まります。
高度成長期のビル高層化や鉄骨構造化に伴い、鉄骨造建築物などの軽量耐火被覆材としてアスベストは使用されました。
ここからは具体的なアスベストの用途と使用期間について解説します。
(1)吹き付けアスベスト
吹き付けアスベストとは、石綿とセメントに水を加えて混合し、壁や天井に吹き付けたものです。
壁や天井に耐火・吸音などの性能を持たせるために使用されました。
使用期間は、1956年ごろから1975年頃までとされています。
ただし、1980年代後半に、石綿対策として「封じ込め」が行われています。
封じ込めとは、吹き付けアスベストを造膜材等で上から封じる方法です。
参考:1. 吹き付けアスベスト アスベスト(石綿)はどのような場所に使用されていたか アスベスト(石綿)とは? 独立行政法人 環境再生保全機構
(2)吹き付けロックウール
吹き付けロックウールとは、吹き付けアスベストの代わりに用いられた方法です。
ロックウールとは、岩綿のことで、アスベストは含まれていません。
ただし、1989年までは、吹き付けロックウールにアスベストが混ぜられていました。
また、吹付け材に、
- バーミキュライト
- タルク
- セピオライト
を使用している場合は、不純物としてアスベストの1種である「クリソタイル」、「トレモライト」を含有している場合があります。
参考:2. 吹き付けロックウール アスベスト(石綿)はどのような場所に使用されていたか アスベスト(石綿)とは? 独立行政法人 環境再生保全機構 ロックウールとアスベストの違い ロックウール工業会環境委員会 大阪市
(3)アスベスト含有保温材
アスベスト含有保温材とは、化学プラントやボイラーの本体や配管に使用される保温材です。
アスベスト含有保温材には、
- 石綿とその他の天然鉱物等を原料にして成形した珪藻土保温材
- パーライト保温材
- 石綿けい酸カルシウム保温材
- バーミキュライト保温材や水練り保温材
があります。
参考:3. アスベスト含有保温材 アスベスト(石綿)はどのような場所に使用されていたか アスベスト(石綿)とは? 独立行政法人 環境再生保全機構
4、政府のアスベスト対策
政府によるアスベスト対策を紹介します。
- アスベストに関する法規制
- 民間建築物に対するアスベスト調査における補助金制度
- アスベスト飛散防止対策
(1)アスベストに関する法規制
アスベストに関する法律は7つあります。
それぞれ確認していきましょう。
① 建築基準法
建築基準法は、
- 建築物のアスベスト使用禁止
- アスベストの除去義務付け
- アスベストの封じ込めおよび囲い込みの措置
等を定めています。
② 建設工事に係る資材の再資源化等に関する法律(建設リサイクル法)
- 解体工事におけるアスベストの有無の調査
- 付着物の除去
などについて定めています。
③ 労働安全衛生法
労働安全衛生法は、アスベストを重量の0.1%を超えて含有する製剤等の
- 製造
- 輸入
- 使用の禁止
- 労働者のアスベストばく露防止措置
について定めています。
④ 大気汚染防止法
大気汚染防止法では、
- 建築物解体作業等の届出
- 建築物解体作業
等の基準について定めています。
⑤ 廃棄物の処理及び清掃に関する法律
廃棄物の処理及び清掃に関する法律では、廃石綿等を含む廃棄物の特別な管理について定めています。
⑥ 宅地建物取引業法
宅地建物取引業法では、アスベスト使用有無の調査結果を建物の購入者等に説明することが定められています。
⑦ 住宅の品質確保の促進等に関する法律
住宅の品質確保の促進等に関する法律では、既存住宅の個別性能に係る表示事項に「アスベスト含有建材の有無等」の記載を定めています。
(2)民間建築物に対するアスベスト調査における補助金制度
民間建築物に対する、アスベスト調査には、補助金制度が設けられています。
補助金の対象は、吹付けアスベスト等が、施工されている恐れのある住宅と建築物です。
国の補助額は、原則として1棟あたり約25万円です。
補助金制度がある地方公共団体から、地方公共団体経由で補助金が支給されることもあります。
参考:石綿(アスベスト)調査をしたいのですが、補助金制度はありますか。補助金制度について 石綿総合情報ポータルサイト 厚生労働省
(3)アスベスト飛散防止対策
アスベストは建築物の
- 解体
- 改造
- 補修作業
によって飛散する恐れがあります。
そのため、大気汚染防止法で「石綿飛散防止対策(作業基準の遵守)」が義務づけられています。
「建築物等の解体等に係る石綿ばく露防止及び石綿飛散漏えい防止対策徹底マニュアル」には、プラスチックシートによる作業場の隔離・養生など、飛散を防ぐための手順が細かく決められています。
また、飛散の恐れがある作業は、14日前までに都道府県等に届出が必要です。
参考:石綿(アスベスト)問題への取組 | 建物を壊すときにはどうしたら良いの? 環境省
5、アスベスト(石綿)による健康被害救済給付とは
アスベスト(石綿)健康被害救済制度とは、アスベストで健康被害を受けた人、およびその遺族に対する救済制度です。
仕事による健康被害は労災保険の対象になります。
アスベスト(石綿)健康被害救済制度では
- 医療費
- 遺族給付(救済給付)
- 特別遺族給付金
の給付が受けられます。
特別遺族給付金とは、時効によって労災保険の給付を受けられない労働者遺族に支給される給付金です。
給付金についてより詳しく知りたい方は、以下の政府広報オンラインなどをご確認下さい。
参考:政府広報オンライン 石綿健康被害救済制度
参考:アスベスト(石綿)健康被害救済制度 東京都福祉保健局
PoliPoliで公開されている環境関連の取り組み
誰でも政策に意見を届けることができる、政治プラットフォームサービス「PoliPoli」では、再エネで地域も経済も活性化する気候危機政策について、以下のように公開されています。
あなたの願いや意見が政策に反映されるかもしれないので、是非下記のリンクからコメントしてみてください。
PoliPoli|再エネで地域も経済も活性化する気候危機対策!
(1)再エネで地域も経済も活性化する気候危機政策の政策提案者
| 議員名 | 田嶋 要 |
| 政党 | 衆議院議員・立憲民主党 |
| プロフィール | https://polipoli-web.com/politicians/JskZ6HJLEgwWJZkKTVZN/policies |
(2)再エネで地域も経済も活性化する気候危機政策の政策目標
政策目標は主に以下の通りです。
- 再エネを中心とした分散型エネルギーシステムに移行し、そのプロセスを促進するグリーンリカバリーによる投資と海外に支払っていた燃料費を国内で循環させることにより、脱炭素社会の実現と経済・社会の活性化を両立させます。
(3)実現への取り組み
実現への取り組みは以下の通りです。
- 分散型エネルギー社会を実現するための基本法をはじめとした環境整備を行い、エネルギーの地産地消や原発依存からの脱却、エネルギー転換の過程で起こる雇用の公正な移行を実現します!
この政策の詳細をより知りたい方や、政策の進捗を確認したい方は下記リンクからご確認ください。
まとめ
今回はアスベストについて解説しました。
アスベストは、防炎・防音・保温など多数の機能を持つ天然鉱石です。
しかし、アスベストを吸い込むと、石綿肺や肺がんなどの健康被害を引き起こす可能性があります。
アスベスト使用の恐れがある住宅の解体等には、注意が必要です。













